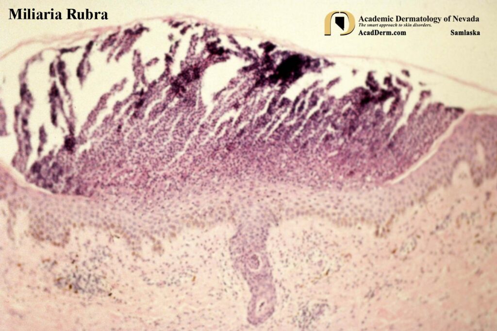
Miliaria Rubra is also known as Heat Rash and Prickly Heat. It is the most common form of miliaria and is seen in children and up to 30% of adults who move to a tropical environment or are exposed to sudden changes in heat and humidity. It often takes several months to peak after the initial exposure. Miliaria Rubra is due to obstruction of the sweat ducts close to the surface and extends into the mid-epidermis as shown below…


The lesions are discrete, extremely pruritic, erythematous papulovesicles accompanied by a prickling, burning or tingling sensation. At times they can become confluent on a bed of erythema. The most frequently involved sites include the antecubital and popliteal fossae, trunk, inframammary areas, abdomen, and inguinal areas. Complications may sometimes occur such as secondary bacterial infections (staphylococci), impaired thermoregulation and hyperhidrosis in non-affected areas.
ETIOLOGY: As noted above, it occurs usually with sudden exposure to humid or hot environments resulting in obstruction of the sweat ducts. Other things that might promote development are intense physical activity, high fevers, or occlusion of the skin with non-porous dressings or synthetic clothing against the skin.
TREATMENT: No treatment is necessary. Management of environmental exposure is effective, such as air-conditioning, avoid excessive or tight clothing, avoid excessive soap use and removing wet clothing. Some authors have recommended cool water compresses, emollients, topical steroids and use of antiseptics and anti-staphylococcal antibiotics to avoid secondary infections. To read more about Miliaria Rubra click HERE and HERE.
